Jak se léčí hypoplazie endometria?

Hyperplazie endometria je benigní růst vnitřní vrstvy dělohy. Pokud není léčba zahájena včas, může hyperplazie vést k nepravidelnostem menstruace, neplodnosti a dokonce i rakovině dělohy.
Co je hyperplazie endometria
Děloha – orgán ženského reprodukčního systému, který je potřebný k porodu dítěte. Hlavní část dělohy je svalnatá, ale zevnitř je vystlána speciální sliznicí, která je tzv. endometrium. Endometrium se skládá ze žláz a stromatu – jakési kostry pojivové tkáně. Normálně stroma tvoří více než 50 % plochy. Na hyperplazie endometria tento poměr se mění, žlázová tkáň roste a stromální tkáně je stále méně a méně.

Vlevo – normální endometrium, vpravo – proliferace žlázové tkáně endometria (hyperplazie)
Hyperplazie endometria je podle statistik zjištěna u 133 žen ze 100 tisíc. Vrchol výskytu nastává ve věku 50–54 let.
Každý měsíc
dáváme dárky
a nabízíme slevy až 30%
Začněte šetřit hned teď!
Příčiny hyperplazie endometria
Hlavním důvodem pro rozvoj hyperplazie endometria je hyperestrogenismus, tedy nadbytek ženských pohlavních hormonů estrogenu. Estrogen podílet se na regulaci menstruačního cyklu. V první polovině cyklu se jejich hladina zvyšuje. Estrogeny stimulují růst endometria, čímž vytvářejí úrodnou půdu pro implantaci oplodněného vajíčka a vývoj embrya. Maximální koncentrace estrogenu nastává během ovulace. Poté hladina estrogenů klesá a jsou nahrazeny jiným hormonem – progesteronu. Pokud došlo k početí, pak progesteron vytváří příznivé podmínky pro normální těhotenství – reguluje růst endometria tak, aby se oplodněné vajíčko snadněji implantovalo do stěny dělohy. Progesteron navíc chrání plod před imunitním systémem matky (ona ho vnímá jako cizí předmět a může se ho pokusit odmítnout). Pokud nedojde k těhotenství, pak progesteron klesá, což přispívá k odmítnutí endometria a začátku další menstruace. Při hormonální nerovnováze je v těle příliš mnoho estrogenu a progesteronu je naopak v poměru k tomuto množství estrogenu nedostatek. Výsledkem je, že vnitřní výstelka dělohy začne nekontrolovatelně růst a u ženy se rozvine hyperplazie endometria.
Rizikové faktory pro rozvoj hyperplazie endometria
- raná menarche – první menstruace před dosažením věku 10 let;
- pozdní menopauza – ukončení menstruace ve věku 55 let a více;
- období přechodu menopauzy (kdy se ovulace stává vzácnou);
- Syndrom polycystických vaječníků je běžná patologie, při které je narušena funkce vaječníků a ovulace chybí nebo se vyskytuje jen zřídka. To vede k poruchám reprodukce (neplodnosti) a poruchám metabolismu;
- absence těhotenství a porodu během života.

Při syndromu polycystických ovarií vajíčka nedozrávají a neuvolňují se z folikulů. V průběhu času se na jejich místě tvoří cysty – bubliny s kapalinou.
Iatrogenní faktory:
- monoterapie estrogeny – léky, které jsou svou chemickou strukturou podobné ženským pohlavním hormonům;
- monoterapie tamoxifenem, antiestrogenním lékem, který se používá k léčbě rakoviny prsu (jedním z vedlejších účinků tamoxifenu může být hyperplazie endometria).
Doprovodná onemocnění, která zvyšují riziko rozvoje hyperplazie endometria:
- obezita;
- diabetes mellitus 2. typu je chronická metabolická porucha charakterizovaná nadbytkem glukózy v krvi a necitlivostí buněk na hormon inzulín;
- arteriální hypertenze;
- Lynchův syndrom je dědičné onemocnění, při kterém se v tlustém střevě tvoří zhoubné nádory;
- Hormonální nádory vaječníků jsou nádory, které syntetizují estrogenové hormony.
Riziko rozvoje hyperplazie endometria může také zvýšit věk (ohrožené jsou ženy nad 35 let), dědičné stavy a kouření, včetně pasivního kouření.
Typy hyperplazie endometria
V klinické praxi se používá binární klasifikace hyperplazie endometria přijatá WHO (Světová zdravotnická organizace) v roce 2014.
Podle této klasifikace lékaři rozlišují dvě formy onemocnění – hyperplazii endometria bez atypie a hyperplazii endometria s atypií.
Hyperplazie endometria bez atypií – nezhoubný růst děložní sliznice, který není doprovázen maligní degenerací buněk. Riziko progrese do karcinomu endometria do 20 let je až 5 %.
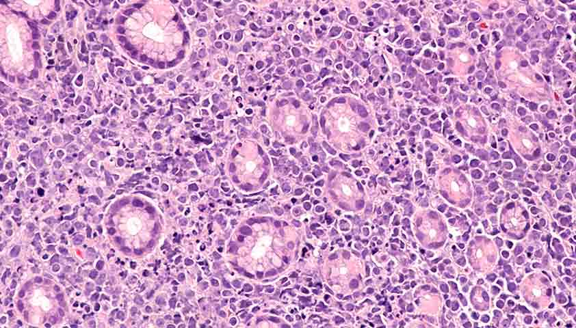
Hyperplazie endometria s atypií – proliferace děložní sliznice, při které se tvoří atypické buňky Atypické buňky Buňky, které se od normálních liší svou velikostí, tvarem a strukturou. Takové buňky jsou náchylné k nekontrolovanému dělení, což výrazně zvyšuje riziko vzniku rakoviny. . Riziko vzniku karcinomu endometria je 27,5 %.

Atypické buňky pod mikroskopem
Příznaky hyperplazie endometria
V časném stadiu nemusí hyperplazie endometria způsobovat příznaky. V pozdějších stádiích se objevují charakteristické příznaky onemocnění.
Hlavní příznaky hyperplazie endometria:
- doba trvání menstruačního cyklu je kratší než 21 nebo delší než 35 dní;
- trvání menstruace více než 8 dní;
- silný menstruační výtok (nutnost používat 4 nebo více vložek denně);
- vypouštění krevních sraženin během menstruace;
- intermenstruační děložní krvácení;
- postmenopauzální krvácení;
- bledá kůže a vypadávání vlasů (důsledek velké ztráty krve).
Některé ženy také pociťují nepohodlí v podbřišku, které není spojeno s menstruačním cyklem, často se objevují bolesti hlavy a váha začíná přibývat bez zjevné příčiny.
Komplikace hyperplazie endometria
Mezi hlavní komplikace hyperplazie endometria patří anémie, neplodnost a rakovina dělohy.
V důsledku nadměrné ztráty krve se ztrácí mnoho železa, jeho zásoby v těle se vyčerpávají a v důsledku toho se anémie z nedostatku železa.
neplodnost spojené s menstruačními nepravidelnostmi, anovulací, hormonální nerovnováhou a patologickými změnami ve struktuře endometria.
Rakovina dělohy se může objevit na pozadí hyperplazie endometria s atypií. Zároveň dochází k degeneraci buněk děložní sliznice – mění svou velikost, tvar, strukturu, začínají se nekontrolovatelně dělit. To může vést k rakovině.

Podle statistik hyperplazie nejčastěji degeneruje do adenokarcinomu endometria
Kterého lékaře bych měl kontaktovat pro příznaky hyperplazie endometria?
Porodník-gynekolog diagnostikuje a léčí hyperplazii endometria. V některých případech je nutná i konzultace s onkologem.
Na schůzce lékař nejprve provede rozhovor s pacientem.
Anamnéza nebo anamnéza zahrnuje:
- věk pacienta;
- špatné návyky – kouření, pití alkoholu, psychofarmaka;
- menstruační cyklus – v jakém věku nastala první menstruace (menarché), trvání a pravidelnost menstruace, trvání menstruačního cyklu;
- porodnická anamnéza – těhotenství a jejich výsledek: narození dětí přirozeným způsobem nebo císařským řezem, dále potraty, potraty, zmrazená a mimoděložní těhotenství;
- gynekologická onemocnění – akutní a chronická;
- operace na pánevních orgánech – močový měchýř, děloha, děložní hrdlo, vejcovody, vaječníky;
- existující chronická onemocnění;
- užívání léků.
Poté lékař provede vyšetření na gynekologickém křesle pomocí zrcátka – dilatátoru, který tlačí stěny pochvy od sebe. Tato manipulace umožňuje vizuálně posoudit stav genitálního traktu a děložního čípku. V případě hyperplazie endometria je však studie spíše rutinní preventivní povahy – faktem je, že ve vnitřní formě patologie není informativní.
Laboratorní diagnostika
Cytologické vyšetření vzorku tkáně odebraného během biopsie pomáhá vyloučit nebo potvrdit hyperplazii endometria.
Jedna z metod odběru biomateriálu se nazývá „potrubní biopsie“. Gynekolog během výkonu zavede do dutiny děložní pružnou sondu vybavenou pístem. Při vytažení pístu se uvnitř sondy vytvoří podtlak a sonda je „přisáta“ ke stěně dělohy. Otvorem na konci sondy vstupují vzorky sliznice dělohy.
Studie umožňuje odhalit onemocnění děložní sliznice, včetně rakoviny a prekancerózy, v časném – asymptomatickém – stadiu.
233 bonusů
Citát materiál 0 ₽
233 bonusů
Citát materiál 0 ₽
Provádí se také diagnostická kyretáž dutiny děložní. Diagnóza hyperplazie endometria je nakonec stanovena na základě výsledků patologického vyšetření endometriální tkáně.
Rozbor je předepsán na nepravidelnosti menstruačního cyklu, děložní krvácení a změny na děložní sliznici zjištěné ultrazvukem. Studium tkáně získané během diagnostické kyretáže umožňuje diagnostikovat prekancerózní stavy, a pokud je detekován novotvar, určit jeho povahu (benigní nebo maligní).
300 bonusů
Biops./oper. materiál 0 ₽
300 bonusů
Biops./oper. materiál 0 ₽
Instrumentální diagnostika
K objasnění diagnózy lékař odešle pacienta na ultrazvukové vyšetření – ultrazvukové vyšetření pánevních orgánů. Obvykle se postup provádí dvěma způsoby: transvaginálně (zavedením speciálního senzoru do pochvy) nebo transabdominálně (když lékař pracuje se senzorem na povrchu břicha). Při podezření na hyperplazii endometria je výhodnější transvaginální verze studie, protože její citlivost Citlivost studie Pravděpodobnost detekce patologie za předpokladu, že je skutečně přítomna. vyšší – v průměru 91 %.
U žen v reprodukčním věku se ultrazvuk provádí 5.–7. den cyklu. Normálně by tloušťka endometria v tomto okamžiku neměla být větší než 6 mm. U žen po menopauze by tloušťka endometria neměla přesáhnout 5 mm.
Kromě měření tloušťky endometria lékař také hodnotí jeho strukturu, homogenitu a charakteristiky prokrvení. Charakteristickými znaky hyperplazie jsou intenzivnější prokrvení endometria (je zcela prostoupeno cévami), nerovnoměrné kontury a heterogenita.
Léčba hyperplazie endometria
Terapie hyperplazie endometria zahrnuje konzervativní (hormonální) a chirurgickou léčbu. Cílem terapie je zastavit abnormální děložní krvácení, zabránit relapsům endometriální hyperplazie a rozvoji rakoviny.
Volba taktiky léčby závisí na typu hyperplazie – s atypií nebo ne, stejně jako na věku pacientky a jejích reprodukčních plánech (zda žena chce mít v budoucnu dítě).
Pokud je podle výsledků histologie u ženy zjištěna hyperplazie endometria bez atypií, pak jí může lékař předepsat nitroděložní tělísko obsahující levonorgestrel, syntetický analog hormonu progesteronu, který potlačuje růst endometria. Podle statistik dosahuje účinnost nitroděložního tělíska uvolňujícího levonorgestrel v léčbě hyperplazie endometria 100 %.
Pokud existují kontraindikace pro zavedení nitroděložního tělíska, může lékař doporučit pacientce hormonální přípravky obsahující gestageny (syntetické analogy hormonu progesteronu). Pokud jsou spolu s hyperplazií endometria detekovány také děložní myomy nebo endometrióza, předepisují se agonisté hormonu uvolňujícího gonadotropin.
Délka léčby je stanovena individuálně a závisí na věku pacientky a typu endometriální hyperplazie.
Podle statistik dochází k relapsům po 6měsíčním průběhu terapie přibližně u 40 % žen, nejčastěji u pacientek s indexem tělesné hmotnosti nad 35.
Hyperplazie endometria s atypií výrazně zvyšuje riziko vzniku rakoviny dělohy. Proto jsou pacientky s touto diagnózou většinou indikovány k hysterektomii, gynekologické operaci k odstranění dělohy. Provádí se laparoskopicky (přes malé vpichy v dutině břišní) nebo laparotomicky (přes velký řez).
Hlavní typy hysterektomie:
- mezisoučet – tělo dělohy je odstraněno, děložní hrdlo je ponecháno;
- celkový – děloha a děložní hrdlo jsou odstraněny, vaječníky jsou ponechány;
- radikální – odstranit dělohu a děložní hrdlo, část pochvy, vaječníky, vejcovody.

Typy hysterektomie v závislosti na rozsahu operace
Pokud by si pacientka chtěla zachovat reprodukční funkci a stát se v budoucnu matkou, může jí být místo operace předepsána hormonální terapie. V tomto případě bude žena muset každé 3 měsíce podstoupit biopsii potrubí.
Prognóza hyperplazie endometria
Pokud je u pacientky diagnostikována hyperplazie endometria bez atypií, bývá prognóza onemocnění příznivá – k uzdravení dochází ve více než 90 % případů, k relapsu dochází přibližně u 6 % žen.
Prevence hyperplazie endometria
Specifické metody prevence hyperplazie endometria nebyly vyvinuty. Obecně se ženám doporučuje vést zdravý životní styl, každých šest měsíců až rok podstoupit preventivní prohlídky u gynekologa, na doporučení lékaře podstoupit ultrazvuk pánevních orgánů a sledovat pravidelnost menstruačních cyklů a povahu výtoku. Pokud dojde ke změnám ve fungování reprodukčního systému, objeví se silná menstruace se sraženinami nebo intermenstruační krvácení, měli byste se okamžitě poradit s lékařem.
Důležitá je také normalizace váhy, sledování krevního tlaku, vyvážená strava a zařazení fyzické aktivity do denní aktivity (alespoň 150 minut týdně, včetně cvičení na posílení svalů 2 dny v týdnu).
Hyperplazie endometria v počátečních stádiích je dobře léčena a kontrolována a ve většině případů nezpůsobuje vážné problémy s plodností – po léčbě zůstává žena schopna otěhotnět a donosit dítě. Ale pokud ztratíte čas a ignorujete příznaky, následné poruchy se mohou stát nevratnými.
zdroje
- Hyperplazie endometria: klinická doporučení / Ruská společnost porodníků a gynekologů. M., 2021.
- Grigorenko A. N. Hyperplazie endometria: více otázek než odpovědí // Reprodukční endokrinologie. 2017. č. 3(35). str. 38.
- Pustotina O. A. Hyperplazie endometria podle ultrazvukových údajů. Analýza klinických případů // Vědecký a vzdělávací portál „Expertologie“. 2021.
Často kladené dotazy
Co je endometriální hyperplazie dělohy?
Hyperplazie endometria je patologický růst vnitřní vrstvy dělohy, který bez léčby může vést k neplodnosti a rakovině.
Co je to endometrium?
Endometrium je výstelka dělohy, sestávající ze žláz a stromatu (druh pojivové tkáně). Normálně stroma tvoří více než 50 % plochy. Při hyperplazii endometria se tento poměr mění, žlázová tkáň roste a stromální tkáně ubývá.
Proč může být děloha zvětšena?
Nejčastějšími patologickými příčinami zvětšení dělohy jsou endometrióza (růst buněk ve výstelce dělohy za sliznicí) a myomy (nezhoubný nádor, který se tvoří ve svalové stěně dělohy a je uzlem tvořeným buňkami hladkého svalstva ).
Jak léčit hyperplazii endometria?
K léčbě hyperplazie endometria bez atypie je obvykle předepsána hormonální terapie. Pokud má žena hyperplazii endometria bez atypií, může jí lékař předepsat nitroděložní tělísko obsahující levonorgestrel, syntetický analog hormonu progesteronu, který potlačuje růst endometria.
Pokud existují kontraindikace pro zavedení nitroděložního tělíska, může lékař doporučit hormonální přípravky obsahující gestageny (syntetické analogy hormonu progesteronu). Pokud jsou spolu s hyperplazií endometria detekovány také děložní myomy nebo endometrióza, předepisují se agonisté hormonu uvolňujícího gonadotropin.
Hyperplazie endometria s atypií je spojena s vysokým rizikem vzniku rakoviny dělohy, proto se nejčastěji řeší chirurgicky – děloha se odstraňuje laparoskopicky (malými vpichy v dutině břišní) nebo laparotomicky (velkým řezem).
Zkontroloval jsem informace
lékařský odborník

Olga Ulankina
Porodník-gynekolog, kandidát lékařských věd
Publikováno 15.11.2023 v 06:56.
Upraveno 17.10.2024 v 08:16.
Recenzováno odborníkem dne 15.11.2023 v 06:56.